Make Embeddings Great Again with Self-supervised Learning

Bohua Peng 

4 May 2021

 

content

  • Preliminary 🤔
  • Generative Methods 💚
  • Handcrafted Pretext Training 💡
  • Contrastive Learning  🕯️
    • metric learning
    • Loss functions
    • Experiments 💻
  • Future directions🌟
    • Hard negative mining
    • Decorrelating / Multiple ontological representations)

Preliminary

Plato’s allegory of the cave

A lower-dimensional representation

Preliminary

Due to information loss ...

The same goes for deep representation learning

Embedding zoo

word embeddings

wave embeddings

face embeddings

Can we learn representations without human annotations?

Handcrafted pretext tasks

Learning from predicting a part of data with the rest

These methods are very flexible. However, they are not good enough ...

These heuristics are quite fragile. They need a set of carefully pre-defined configurations which are difficult but not too difficult, otherwise ...

Handcrafted pretext tasks

[1] Unsupervised Learning of Visual Representations by Solving Jigsaw Puzzles 2016

Generative methods

VAE

Learning by reconstructing

Limitations:

  • Posterior collapse
    • constant representations
    • noisy representations
  • ​A hard trade-off between generality and fidelity

 

  • disentangled representations
  • variational inference backbone

Pros:

Generative methods

Learning by generating - GAN

Problems:

 

  • mode collapse
  • forgetfulness w.r.t discriminator

Self-Supervised GANs via Auxiliary Rotation Loss CVPR 2019

Adding pretext tasks to GAN

Text

Is there a more general proxy task to learn other than reconstruction , e.g., relational classification?

Can we not trade off generality and interpretability?

Pulling semantically 

similar objects close to each other with a contrastive loss

Metric learning

Learning by comparing

Let Y = 0, if anchor X1 and input image X2 are from the same person.

[2] Learning a Similarity Metric Discriminatively, with Application to Face Verification 2005

contrastive loss:

Pushing semantically 

diverse objects away from each other with a contrastive loss

Metric learning

Let Y = 0, if anchor X1 and input image X2 are from different people.

https://keras.io/examples/vision/siamese_network/

Unsupervised contrastive learning

Consider views of  the same images as positive keys while views of other images as negative keys

Instance level discrimination

🤔

However, it meets mode collapse

Modern contrastive learning

The successful story of SimCLR

  • strong data augmentation
  • a large number of negative samples
  • nonlinear projection head (MLP)
  • InfoNCE loss ( contrastive cross entropy)

SimCLR 2020

Loss function

Normalized temperature-scaled cosine similarity

Swapped-version loss to avoid mode collapse

InfoNCE

(contrastive cross entropy)

Experiments

Verify 4 contrastive methods pretrained on CIFAR10

T-SNE visualization of learned representations for CIFAR10

Same data augmentation:

random resized crop

color jittering

Linear evaluation protocol:

Augmentation and regularisation are not allowed when finetuning the linear projection head

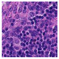
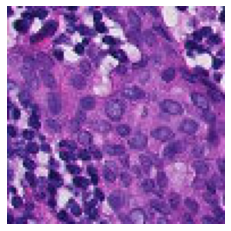
Experiments

MoCo pretrained on histopathological dataset

T-SNE visualization of learned representations for CIFAR10

Learned feature maps

results

benovelent

malignant

Future directions🌟

"Hard" Negative Mining

Relate to InfoMax

easy pair

hard pair

Future directions🌟

 

Negative samples might not be necessary

  • Decorrelating information in the representations
  • reduce redundant information between distorted views

Barlow Tiwns